Floaters

floaters image.jpg

Eye floaters are small pieces of debris that float in the eye’s vitreous humor. The debris casts shadows onto the retina (the light sensitive layer at the back of the eye). If you have eye floaters, it is these shadows that you see “floating” across your field of vision.

Floaters can be the result of a natural process of vitreous degeneration - called vitreous syneresis and ultimately posterior vitreous detachment. However, floaters can also be cause by abnormal conditions such as retinal tears, hemorrhage and uveitis. It is important that you have a dilated eye exam by a qualified retina specialist if you have new onset or worsening floaters in the eye(s). You should expect a thorough scleral-depressed dilated eye exam to evaluate your symptoms.

If you are suffering from degenerative floaters, Dr. Ezon can offer a pain-free office-based special laser to treat many such floaters. In the past many eye care specialists have minimized patient complaints of floaters, but Dr. Ezon recognizes the quality of vision and satisfaction can be affected by floaters. He is here to help. The laser treatment for this condition is called YAG Vitreoablation, or Laser Floater Treatment.


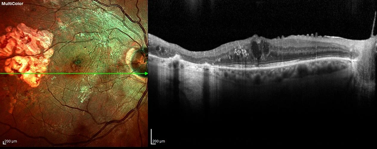
Macular Degeneration

AMD MC OCT.jpg

Age Related Macular Degeneration is a chronic disease that can have a sudden impact on vision.  Commonly, this condition is initially mild and undetected by a patient.  The first clinical signs are usually drusen - collection of debris - in the macula (central retina).  This is identified on exam and special imaging.  Patients are often asymptomatic at this stage.  In some patients this condition can progress to advanced disease with metamorphopsia (abnormal waviness of vision) and central vision loss.  The advanced dry form, known as "geographic atrophy," tends to be a slowly progressive disorder that closes in on central vision.  The "wet" macular degeneration features new blood vessel growth that can have devastating changes to vision, sometimes overnight.  Fortunately, we have very effective treatment for the wet form of macular degenration that can stabilize and improve vision in most patients.  

Specific eye vitamins are helpful in slowing progression for those with CERTAIN intermediate to advanced findings, and injections can restore vision in many patients with wet macular degeneration.  Earlier treatment is far better than late treatment.   We offer Eylea, Avastin, Lucentis and steroid injections.  

Click here for a grid (Amsler Grid) that can be used for home monitoring in between visits.  


Diabetic Retinopathy

bdr.jpg

Diabetes is a systemic disease that effects many parts of the body.  The eye is one of the most commonly damaged sites in the body in patients with diabetes.  Anyone with Diabetes Type 2, and those with Diabetes Type 1 for more than 5 years, should have dilated eye exams with a qualified specialist at least once a year.  If there are signs of damage on exam, then appointments may need to be more frequent and treatment may be recommended. 

In diabetes, the blood vessels in the eye break down, leading to bleeding and leakage.  When the leakage is in the central vision it is called "Diabetic Macular Edema."  This serious condition can cause blurred vision.  Fortunately, we have treatment for this condition with great success at significantly improving vision! 

Additionally, the bleeding within the eye can range from mild "non-proliferative diabetic retinopathy" to "proliferative diabetic retinopathy" where new blood vessels form.  These new blood vessels can cause large bleeding, blocking vision, and can tug on the retina causing retinal detachments.  Early treatment with laser and injection of medications can reverse many of these findings and save vision.  In some cases, surgery is necessary.  


Retinal Detachment

grt lasered.jpg

Retinal detachments are a potentially vision threatening condition.  Most often, retinal detachments occur when the vitreous gel separates from the retina (a natural age-related process), and tugs too strongly on the retina - creating a retinal tear (a pathological condition).  Retinal tear(s) then allow fluid to track behind the retina, lifting it off the back wall of the eye and creating a retinal detachment. 

Symptoms of retinal tears an detachments may include: floaters, flashing lights and vision loss like a curtain over the eye from any direction.  

In some cases we recommend treating retinal detachments within a few days of diagnosis, however if the central vision is already affected, surgery may be performed in the first 1-2 weeks from symptom onset.  If someone experiences symptoms of a retinal detachments, s/he should be evaluated promptly to allow for early diagnosis and planning of treatment.  

Retinal tears and small retinal detachments can be treated in the office with laser and/or cryotherapy.  More extensive detachments may need treatment by one or more of the following:

  • Pneumatic Retinopexy - laser and/or cryotherapy plus injection of a gas into the eye

  • Scleral Buckle - Placing a silicone band around the eye to but the outer eye tissues closer to the retina

  • Pars Plana Vitrectomy - removal of the vitreous gel through 3 small incisions (half a millimeter in size), and temporary placement of a large gas bubble in the eye.

With prompt evaluation and treatment there is a chance to restore vision and prevent worsening. 


Central Serous Retinopathy

Central Serous Retinopathy (CSR) is also known as central serous chorioretinopathy.  This condition can cause objects to look smaller in one eye, mild central visual blur, color distortions, and changes in glasses prescription.  This condition is most commonly described in middle aged males, but newer studies suggest the gender difference is decreasing.  The condition is associated with exogenous steroid use, anxiety and Type A personalities. 

CSR fa oct.jpg

Most often this condition is self limited, and resolves within 6 months with little to no permanent visual damage.  However, there are instances where the condition persists, recurs, or leaves permanent visual changes.  Treatment options are tailored to the individual and can include observation, laser and medication.  


Epiretinal Membrane

An epiretinal membrane, or "ERM" forms when a few cells lay down on the retinal surface, then multiply and contract.  This condition is also known as "macular pucker" and "cellophane retinopathy."  In some patients, this condition progresses to visual significance.  It can cause wavy vision (metamorphosia) and blurred vision.  When a patient is sufficiently bothered by the visual deterioration, a surgery called vitrectomy is performed.  This surgery is done in the operating room, and the patient goes home the same day!


Macular Hole

MH descsription